Gallery

Are you curious to see for yourself the kind of work that our highly experienced periodontist can do for you? We welcome you to take a look through our smile gallery and see just how much of a difference that care and attention make in creating your new smile. Call us today at 949-833-2263 to schedule an appointment for dental care in Newport Beach, California, and meet Dr. Deborah K. Ruprecht, DDS!
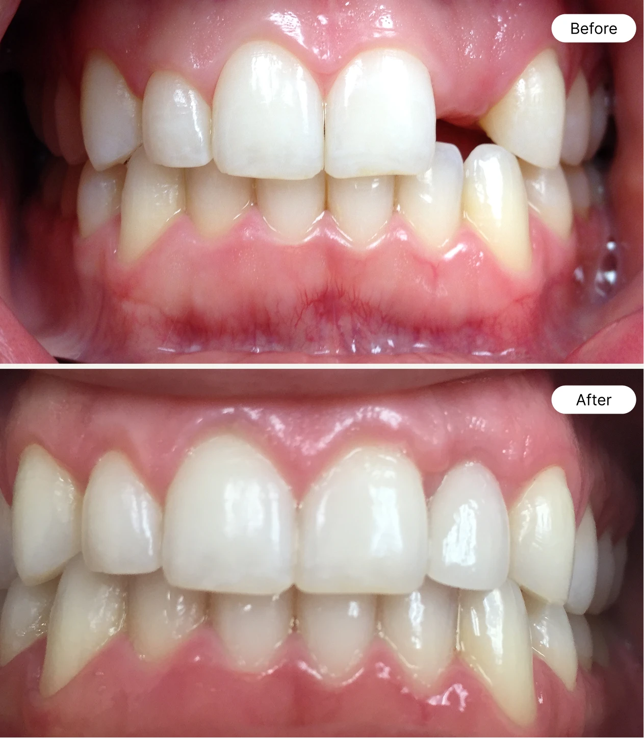
IMPLANTS
 
BEFORE
AFTER
IMPLANTS
 
BEFORE
AFTER
Request Appointment